変形性膝関節症ってどんな病気?

理学療法士のじゅんです!

今日からリハビリについて勉強したいんだ!
今日は何について教えてくれるの?

今日は膝が痛い人がよく診断される、変形性膝関節症について一緒に調べながら勉強していこう!
変形性膝関節症ってどんな病気
どのような人がなりやすいのか
”男女比は1:4で女性に多くみられ、高齢者になるほど罹患率は高くなります。原因は関節軟骨の老化によることが多く、肥満や素因(遺伝子)も関与しています。また骨折、靱帯や半月板損傷などの外傷、化膿性関節炎などの感染の後遺症として発症することがあります。”
日本整形外科学会のHPの情報を抜粋すると
✔︎ 女性の方がなりやすい
✔︎ 年齢が高くなると発生しやすくなる
✔︎ 肥満は危険因子
✔︎ 過去に膝の靭帯損傷や半月板損傷などの怪我をしていると発生しやすくなる
変形性膝関節症の重症度について

Kellgren-Lawrence 分類
グレード1 :大きな変化はないが、骨棘(骨のトゲ)の形成が疑われる状態
グレード2 :小さな骨棘形成があり、関節裂隙(関節の隙間)の狭小化の可能性がある。
グレード3 :骨棘が形成され、関節裂隙の狭小化が明確に確認できる。
グレード4 :顕著な骨棘形成と関節裂隙の著しい狭小化がみられる。

変形性膝関節症と言っても程度が分かれているんだね。
グレードが高い方が変形が進んでいて痛みが強いってことかな?

グレードが高いと変形が進んでいるのはそうなんだけど、痛みが強いかどうかを確認してみよう。
膝が変形しているから痛いのか
2018年の論文では、”KL分類が膝の痛みの有無や重症度と強く関連していることが示された。特に、KLグレードが2以上の膝では、痛みの頻度や重症度が有意に高くなる傾向があった。”
Ke Wang et al. (2018) Radiographic Knee Osteoarthritis and Knee Pain: Cross-sectional study from Five Different Racial/Ethnic Populations
という意見がある一方
2022年の論文では”構造所見よりも炎症所見のほうが痛みに近しい関連を示す傾向。X線所見(KL分類等)そのものとの強い結び付きは控えめ”とされている。
Wynand Steenkamp et al.(2022) The correlation between clinical and radiological severity of osteoarthritis of the knee
その他、多くの文献でレントゲンでの変形の程度と痛みに関して、関連がある一方で関連の程度が必ずしも強くないという報告がされている。

『変形している = 痛い』とは必ずしも言えないってことなのかな?

そのようだね。変形の程度は状態を確認する方法の一つではあるけど、それだけで痛みや症状を説明するのは難しいのかもね。

でも、変形して痛みがある人と痛みが出ない人の差はなんなんだろう?

確かに同じ程度の変形でも痛みが出る人と出ない人と分かれるのが何故かは気になるね。調べてみよう!
変形性膝関節症で痛くなるのはどのような時なのか?
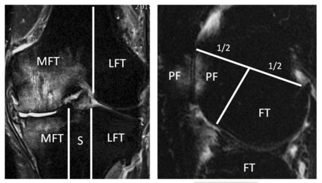
骨髄浮腫がある場合
Asoらの研究によると、軟骨下骨髄病変の強さと荷重時痛(膝に体重がかかった時の痛み)の強さに相関があったと報告している。
下の画像は膝のMRI画像でMFTの上下にある白くなっている部位が軟骨下骨髄病変とのこと。

滑膜炎を起こしている場合
Hillらの報告によると”MRIで滑膜炎の程度を確認した結果、疼痛との関連が強かったと報告している。加えて同研究では、MRIで認めた軟骨損傷の程度と疼痛の程度には関連が弱かったことも報告している。”
Catherine L Hill et al.(2007) Synovitis detected on magnetic resonance imaging and its relation to pain and cartilage loss in knee osteoarthritis
さらにIshibashiらの報告によると”変形性膝関節症の早期段階でも滑膜炎所見(MRI・血清バイオマーカー)と症状の関連が示唆されたと報告しています。”
Kyota Ishibashi et al. (2020) Detection of synovitis in early knee osteoarthritis by MRI and serum biomarkers in Japanese general population

滑膜炎がある場合、それほど変形の程度が強くなくても痛みの原因になる可能性があるのか。

こういう論文を見てみると、同じような変形の程度でも痛い人と痛くない人がいるのも分かってくるね。
どのような治療方法があるのか

では、変形性膝関節症の治療にはどのような方法があるのか、調べてみましょう。
『変形性膝関節症診療ガイドライン2023』によると治療は大きく
手術療法と保存療法に分けられるようです。
それぞれ概要を確認してみましょう。
手術療法
『変形性膝関節症診療ガイドライン2023』によると手術療法には以下のものが含まれる
- 鏡視下デブリドマン
- 膝周囲骨切り術
- 人工膝関節単顆置換術(UKA)
- 人工膝関節全置換術(TKA)
それぞれの特徴を『変形性膝関節症診療ガイドライン2023』から抜粋すると
鏡視下デブリドマン
関節鏡で行う手術で、滑膜や傷んだ半月板を切除する手術。
変形性膝関節症診療ガイドライン2023では、”短期から中期にかけては良好な成績が得られるというシステマティックレビューもある一方、治療効果が少なく推奨しないとするものもある。術後2年後の経過では筋力訓練を行なった群と差がなかったことから、『実施しないことを推奨』するとしている。
膝周囲骨切り術
”膝周囲骨切り術には、以下のものが含まれる。
高位脛骨骨切り術(high tibial osteotomy:HTO)
大腿骨遠位骨切り術(distal femoral osteotomy:DFO)
大腿骨遠位と脛骨近位の両方で変形を矯正する double level osteotomy(DLO)
高位脛骨骨切り術が一般的とされており、85.5%の患者がもとのスポーツに復帰でき,79.5%が術前と同レベルの活動性が得られたとする報告がある.
55歳より若い症例や活動性の高い若い症例に適応されることが多いとされている。”
人工膝関節単顆置換術(UKA)
”人工膝関節単顆置換術(UKA)は,病変が内側あるいは外側大腿脛骨関節に限局し,かつ前十字靱帯(ACL)機能に問題ない変形性膝関節症症例には,疼痛の軽減,ADLの改善に有効で,QOLの向上にも有用である.
TKA と UKA との比較では、内側に限局した変形性膝関節症に対してUKAとTKAを実施した場合,再置換をエンドポイントとした生存率,再手術の有無,合併症の有無を調査した 75 歳以上の UKA 患者では,TKA 患者と比較して術後機能改善が早く,屈曲可動域に優れていた。一方で,TKA は再手術や再置換は少ない傾向にあった。
HTO との比較では,術後3年の短期では臨床成績に差がなく除痛効果や臨床成績は UKA のほうが優れており報告により異なる。これは適応となる年齢や活動性などの患者背景の違いに起因するものと考えられた。”
人工膝関節全置換術(TKA)
”人工膝関節全置換術(TKA)は,高齢者の内側及び外側に進行した変形性膝関節症症例には疼痛の軽減,ADL の改善に有効で,QOL の向上にも有用である。”

手術と言っても色々な方法があるんだね。

そうだね。それぞれの手術にメリット・デメリットがあって、どの方法が一番良いかは人によって変わりそうだね。
主治医の先生とよく相談して決めたいね。
保存療法
『変形性膝関節症診療ガイドライン2023』によると保存療法には以下のものが含まれる
- 運動療法
- 物理療法
- 薬物療法(内服・注射)
それぞれの特徴を『変形性膝関節症診療ガイドライン2023』から抜粋すると
運動療法
膝 OA に対する主なガイドラインである OARSI, ACR, Ottawa panel, EULAR で運動療法は推奨され、core treatment の一つとされている。また、2019 年に報告された陸上運動による膝痛改善に効果的な運動頻度と期間に関するシステマティックレビューでは、週3回、
8~11週または12~15週が有用であると報告されている。さらに、変形性膝関節症のリスクでもあるサルコペニア、フレイル、ロコモティブシンドローム肥満の体重管理などに対する運動療法の効果も期待され、変形性膝関節症に対する運動療法による直接的な効果以外にも有益である。
物理療法
”電気療法(低周波療法)は弱い鎮痛効果を認め、実施することを提案する程度の推奨度とされている。超音波療法も同様に実施することを提案する程度の推奨度とされているが、鎮痛や機能改善に関して中等度の効果を認めたと報告している文献もある。”
薬物療法
”薬物療法には内服・外用(湿布等)と注射が含まれる。
NSAIDs内服・外用は、短期的な鎮痛及び機能改善効果を認め有用であるが、長期間の使用は合併症に留意する必要がある。
ヒアルロン酸関節内注射は、変形性膝関節症に対し鎮痛・機能改善効果があるとされており、推奨の程度は『弱い』が実施することを提案するとされている。
ステロイド関節内注射は有用であるが短期的効果のみであり、頻回の投与や長期間の使用は避けるべきであるとされている。ステロイドの関節内注射は、除痛効果、膝関節機能、ADLの改善効果は炎症の鎮静化や短期の除痛などに限定される。合併症リスクはプラセボと比較して高くはなかったが、ステロイド関節内注射による軟骨損傷、変形性膝関節症進行の危険性がある。したがって、日常診療においてステロイド関節内注射を頻回に行うことや間隔を空けずに使用すること、長期に行うことは推奨されず、合併症に注意し、炎症の鎮静化や短期の除痛に限った使用にすべきである。”

変形性膝関節症は、手術ではなくリハビリや薬物療法といった保存療法もある程度効果が期待されているんだね。

そうだね。次回の記事では、実際の治療はどのような流れで行われていくのかを確認してみよう!
まとめ
- 変形性膝関節症といっても変形の程度によって重症度が分かれている。
- 変形の程度と痛みの程度は必ずしも一致しない。
- 骨髄病変や滑膜炎が生じている人は症状が出やすい可能性がある。
- 治療は手術療法と保存療法に分かれている。
- 手術療法は関節鏡で行うものから人工関節を入れるものまで様々で、重症度や年齢によって適応が分かれる。
- 保存療法にはリハビリ(運動療法・物理療法)と薬物療法が含まれるが、それぞれ
一定の効果が期待されている。
